Kerap sakit kepala, rupanya cacing pita bertelur dalam otak

NEW YORK - Penderitaan seorang lelaki yang kerap mengalami sakit kepala atau migrain terbongkar apabila telur cacing pita ditemui dalam kepalanya.
Pembongkaran itu diketahui selepas lelaki warga Amerika berusia 52 tahun menemui seorang doktor selepas mengadu sakit kepala teruk dan ubat dimakannya gagal memberikan kelegaannya kepadanya.
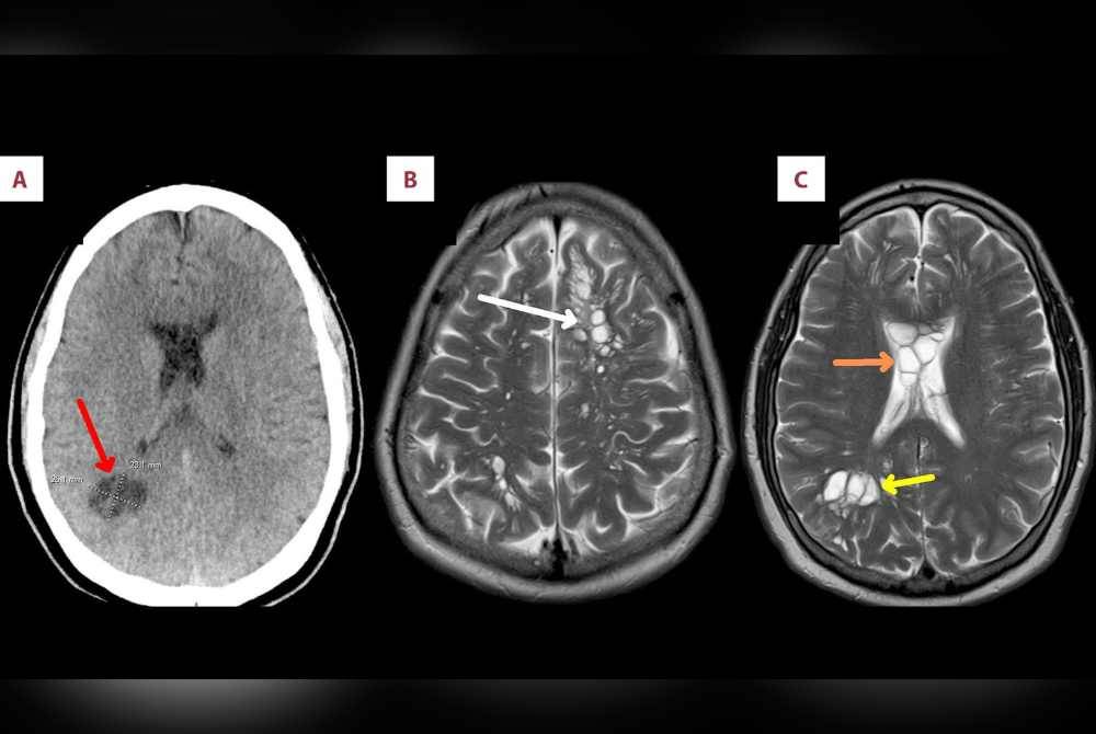
Doktor yang melakukan imbasan mendapati sejumlah telur cacing pita 'bersarang' dalam otaknya.
Selepas membuat pemeriksaan lanjut, lelaki itu disahkan menghidap penyakit neurocysticercosis, sejenis jangkitan daripada larva cacing pita babi yang boleh memasuki tisu seperti otak dan otot.
Penyelidik berkata, pada mulanya mereka hairan selepas mendapati lelaki itu mengakui dia tidak pernah mengunjungi mana-mana kawasan berisiko tinggi.
"Selepas diselidik, pesakit menafikan dia memakan daging mentah atau makanan jalanan.
"Pada masa sama dia mengakui gemar memakan daging separuh masak sepanjang hayatnya," menurut kajian dalam American Journal Of Case Report.
Penyelidik percaya jangkitan itu berpunca akibat tidak mencuci tangan selain memakan daging tidak dimasak sempurna.
Namun nasib lelaki itu baik apabila diberikan ubat anti-parasit dan anti-radang dan dilaporkan pulih seperti sedia kala.
Pusat Kawalan Penyakit Berjangkit Amerika Syarikat (AS) menyatakan dalam laman webnya bahawa sistiserkosis boleh berlaku kepada individu yang tidak pernah mengembara kelur dari negara ini.
"Sebagai contoh, individu yang dijangkiti cacing pita dan dia tidak mencuci tanggannya berkemungkinan tidak sengaja mencemari makanan dengan telur cacing pita semasa menyediakan makanan kepada orang lain," katanya. - Agensi
Muat turun aplikasi Sinar Harian. Klik di sini!
